- Dr Rajeev K Sharma, Senior Consultant, Orthopedics & Joint Replacement Surgeon Conducts Extremely Rare Form of Total Femoral Replacement Surgery on 24-year-old man from Uzbekistan.
- The Procedure has Successfully Put the Man back on his Feet after 3 Failed Surgeries in his home country; Salvaging His Tumor-Struck Thigh & Circumventing the Eventuality of Removal of Hip and Amputation-disarticulation.
NewZNew (New Delhi) : Having undergone three failed surgeries to treat multiple point recurrent cancer of the leg bone in Uzbekistan, 24 year old SobidjOn Juraev had all but given up hope of ever returning to a normal life. The resurrection of the cancer despite several rounds of treatment also posed the serious threat of a leg amputation or worse a disarticulation of the hip. This is when the young man and his family decided to travel to India to seek medical help.
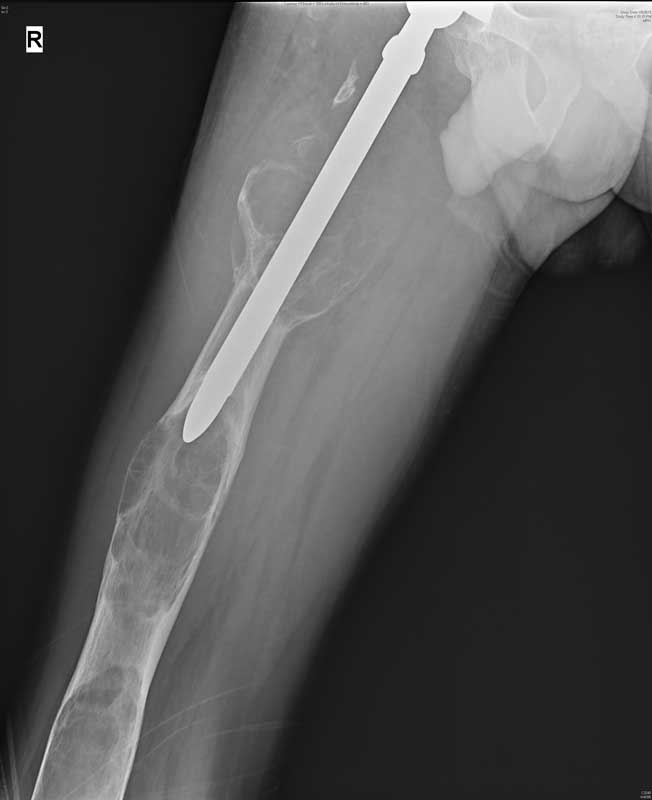
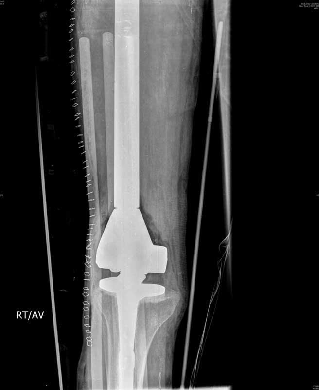
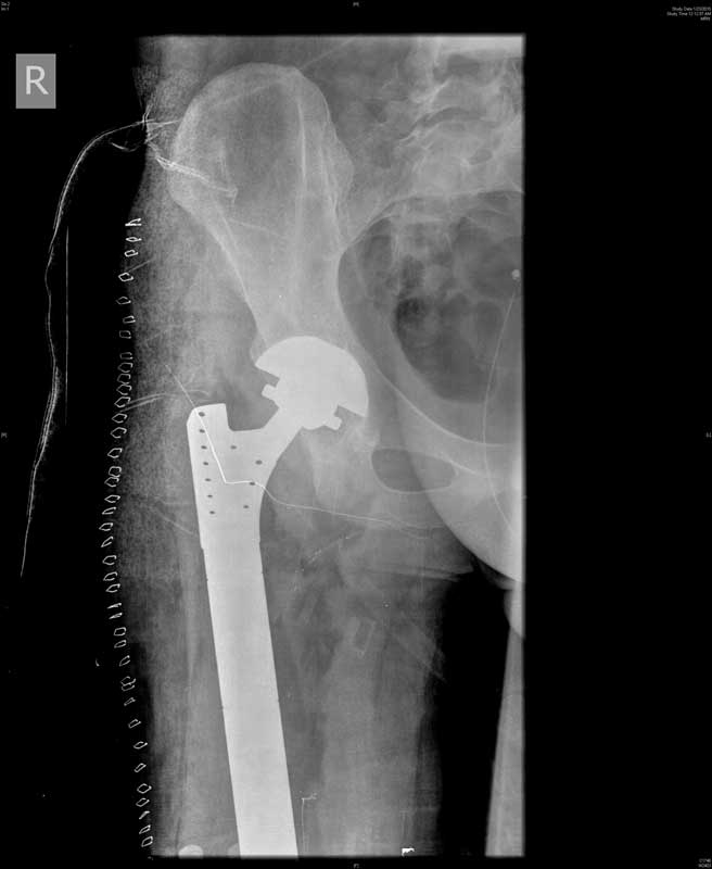
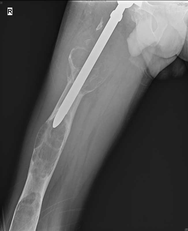
It is in New Delhi that the young Uzbek man got much needed medical succor. In a rare and difficult surgery that lasted 8 hours, Dr Rajeev K Sharma, Senior Consultant, Orthopedics & Joint Replacement Surgeon along with his team including Dr. V.P Singh, Cancer Surgeon at Indraprastha Apollo Hospitals, New Delhi, removed the entire cancer-affected bone right from the hip to the knee, replacing it with an artificial Total Femoral Replacement implant.
The difficult surgery which was a combination of Hip & Knee Replacement has successfully cured the patient of cancer, eliminating the risk of a permanent disability. A failure to get rid of the cancer affected bone would have lead to two eventualities: either a disarticulation of the hip (surgical removal of the entire lower limb at the hip level) or an amputation of the leg to save the life of the man. However, both these situations would have resulted in permanent disability.
A successful surgery that not only rid the man of cancer, but also gave him a new hip and knee joint, has given a fresh lease of the life to him.
Sobidjon had tumor (bone malignancy) at multiple points on the bone between the knee and hip. He first underwent a total hip replacement in June 2011, which failed. The same was followed up by two more surgeries in his home country, which temporarily kept the cancer at bay but failed to have the desired result. Sobidjon Juraev found it difficult to walk and lead a normal life. The risk of recurrent cancer also posed a threat of permanent disability for the young man.
After struggling with the ailment for four years, the family decided to travel to India to seek better medical treatment and cure for the debilitating disease.
“We examined the patient thoroughly and discovered that the cancer in the Right femur bone had recurred. Now, it was at three points in the right femur bone between the hip and the knee, necessitating an amputation which would have been a life-long disability for a young man,” said Dr Rajeev K Sharma, Senior Consultant, Orthopedics & Joint Replacement Surgeon at Indraprastha Apollo Hospitals, New Delhi.
“Total Femoral Replacement in this case was a very difficult and rare surgery as it was a kind of a combination of hip replacement, knee replacement and thigh bone replacement. To be able to get rid of the cancer completely, we needed to remove the entire stretch of thigh bone from the right hip to the right knee and reconstruct the same artificially. It was a challenging surgery as it involved the removal of whole thigh bone at the same time. The challenges included threat of post-surgical infection, knee and hip instability and damage to the nerves and vessels of the area. However, in an 8-hour procedure we successfully removed the full cancerous thigh bone and replaced it with an artificial Total Femoral Implant,” added Dr Sharma.
In such cases, the surgery is followed by a prolonged process of rehabilitation and physiotherapy which helps the patient regain the limb’s lost strength, strengthen the muscles and get back on feet.
The patient is responding well to the surgery and hopes to get back to his normal youthful life soon after four tumultuous years. India will always remain a positive memory in his life as it gave him a fresh hope of survival.










